FDT (機能育成療法)
機能育成療法として降矢歯科クリニックでは
呼吸・姿勢・舌位
に重きを置いた口腔機能育成に取り組んでいます。
また、 FURUYA DENTAL独自のTHERAPY療法として、子ども達1人ひとりに寄り添ったケアを行っていきます。
FDTはマイオブレースというマウスピースを日中1時間、就寝時から朝まで付け、筋機能トレーニングを行い綺麗で健康的な歯列を獲得していく矯正です。
このマイオブレース治療の本当の良さは、ただ悪い歯並びを良くすることだけではなく、免疫力が上がることや、アトピー性皮膚炎、ぜんそくの改善、睡眠時無呼吸症候群の予防、顎が正常に発育することを小児期に行うことで、全身の健康に大きなメリットがあります。
『マイオブレース』とは
現在、虫歯のお子さんは減ってきていますが、5人中4人がお口の機能に問題を抱えています。
そこで1989年オーストラリアのクリス・ファレル博士が悪い歯並びやあごの発育不全、睡眠に関する呼吸障害を治療するためのマウスピースを開発しました。
歯並びや噛み合わせのほとんどは「呼吸」と「飲み込み」にあると発見し、現在その治療システムは根本的な機能不全を治す矯正治療全般へと広がっています。
筋機能トレーニングについて
歯並びが悪いのは「遺伝」と思われがちですが、実は「口呼吸」や「舌、口唇の悪い癖」「姿勢」が主に原因のため、トレーニングで改善していきます。
FDTを始めるまでの流れ
トレーニングの流れ、様子
対象年齢
5歳から15歳まで対象です。
FDT症例
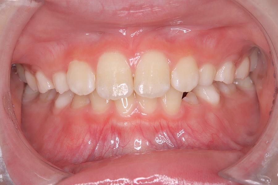
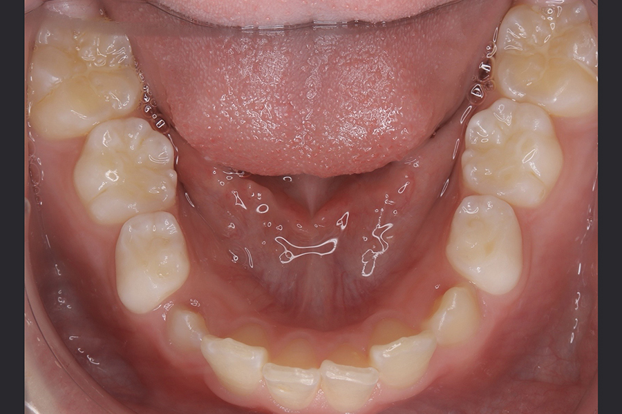
治療前
![]() |
![]() |
![]() |
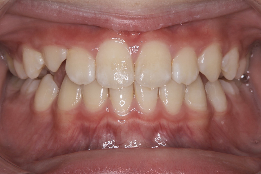
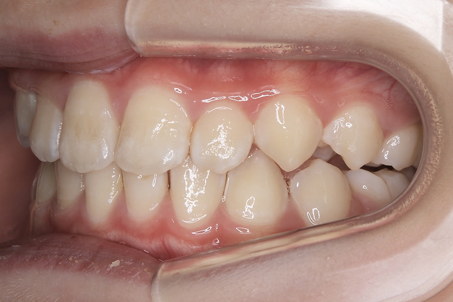
治療後
![]() |
![]() |
![]() |
相談内容 |
歯並びが悪くなるのではないかと悩んでいた。注射が嫌いな子なので歯並びが悪くなって抜歯して矯正するのは避けたい。 |
カウンセリング・診断結果 |
口呼吸、低位舌、上下顎劣成長 |
行った治療内容 |
FDT(筋機能矯正治療/マイオブレース治療) |
費用 |
385,000円(税込) |
治療リスクについて |
・お子様・保護者の協力が必要。 |
担当者からのコメント |
もともと過蓋咬合だったため上の歯茎が見えていましたが、マイオブレースの装着とトレーニングをいつも頑張ってきてくれて、歯並びも綺麗になり、噛み合わせが改善したことでお顔立ちもますます美人さんになりました。 |
FDT症例② S.Hくん(10)
治療前
![]() |
![]() |
![]() |
治療後
![]() |
![]() |
![]() |
相談内容 |
うつ伏せ寝、口呼吸が気になる 歯並びの悪さ |
カウンセリング・診断結果 |
口呼吸、低位舌、上下顎劣成 |
行った治療内容 |
FDT(筋機能矯正治療/マイオブレース治療) |
治癒期間 |
2024.8.31〜 |
費用 |
385,000円(税込) |
治療リスクについて |
・お子様・保護者の協力が必要。 |
担当者からのコメント |
頑張り屋さんで真面目なHくん。正面から見ると一見綺麗ですが、横から見た時の前歯の出っ張りや永久歯の生えるスペースがないためFDTを始めました。 |
料金表
カウンセリング |
無料 |
検査・診断 |
44,000 |
小児期マイオブレース治療 |
385,000 |
FDTアクティビティ初回 |
8,800 |
FDTアクティビティ2回目以降/Dr.治療 |
4,400 |
大切なお子さまの健康的な歯並びと、一生涯の健康のために、成長時期を逃さずFDTを始めましょう。











